Gene Responsible for Mammalian Tooth Root Formation Identified

Finding could lead to better understanding of root disease and causes of tooth loss

By Lois Baker

Release Date: March 25, 2003 This content is archived.

Print

Related Multimedia

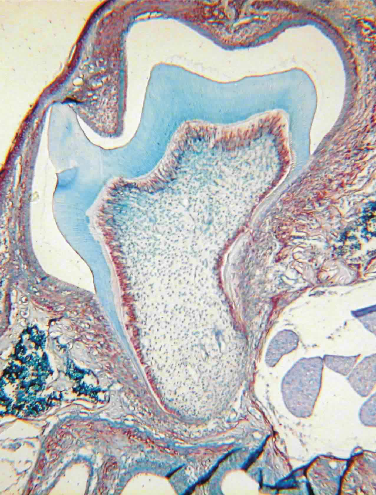
Nfic expression, shown here in a normal mouse molar (purple areas) is necessary for growth of tooth roots, UB scientists found.

BUFFALO, N.Y. -- University at Buffalo scientists have identified a gene responsible for initiating the normal development of tooth roots in mammals.

Researchers made this discovery by creating a mouse lacking the gene responsible for encoding a protein known as nuclear factor I-C (Nfic). Mice lacking this gene developed normally and appeared healthy until weaned to standard laboratory chow. At that point they failed to thrive, became stunted and died prematurely. When mice lacking the gene were fed soft food, they lived as long as mice in the wild and appeared normal in all other ways, the scientists observed.

Further investigation showed that while the tooth crowns (the visible portion of teeth) of these genetically altered mice had developed normally, they lacked the roots that embed teeth in the surrounding bone and provide the stability necessary for chewing.

Results of the research were published in the February issue of Molecular and Cellular Biology. The cover of the journal's April issue features a color image from the paper.

"This is the first mutation in mice that predominately affects the roots of teeth and how they grow out of the crown," said Richard Gronostajski, Ph.D., professor of biochemistry in the UB School of Medicine and Biomedical Sciences and senior author on the research. "If we can understand how this gene functions, we will know a great deal about root disease, root loss and the causes of tooth loss.

"The tooth is a little mini-organ that develops though a mechanism of its own," said Gronostajski. "Crowns begin to form at about the 11th day in utero, and the roots begin to grow from the crown after birth. The signals that are important for root growth turn out to be different from the signals that initiate crown growth. We don't know if the defect affects the tooth itself and the signals between those two tissue layers, or if the signal originates in the surrounding tissue.

"It's a little like a flower bulb. Is it something inside the bulb or something in the soil that signals the root to sprout?"

Gronostajski and colleagues made their discovery while working with the nuclear factor I (NFI) family of proteins, known to function as transcription factors regulating the expression of many genes. These proteins came to the attention of researchers initially because they were found to be necessary for replication of adenoviruses, small infectious agents that cause upper respiratory tract infections.

Their existence in mammalian genomes indicated that the proteins had a purpose other than serving as a breeding ground for viruses, however. "The genes responsible for these proteins are only present in animals," said Gronostajski. "They arose only in multicellular organisms, which suggests they play an important role in the development of complex life forms."

Gronostajski and colleagues set out to determine the proteins' functions by generating mice missing each of the four genes responsible for the NFI proteins: Nfia, Nfib, Nfic and Nfix.

Mice lacking the Nfia gene were born with massive brain deficits, including hydroencephaly, and died shortly after birth. Nfib turned out to be involved with lung formation, and mice lacking the gene also didn't live long.

They then bred mice that were lacking the Nfic gene. "This 'knockout' mouse was sort of tricky," said Gronostajski. "The animals looked perfectly normal, but after weaning to mouse chow they started wasting away. Then we noticed that their incisors looked blunted. We discovered that if we overcame the tooth deficit by feeding them a soft-dough diet, they thrived and were otherwise healthy. The most surprising thing was, when we looked closely at the teeth, the crowns looked perfectly normal, but there were no roots."

Research involving mice lacking the Nfix gene is still in progress.

The ultimate goal of the research is to understand how these proteins perform in nature. After determining the deficits caused by the lack of each single gene, the researchers will begin breeding mice lacking two or more NFI genes to delve further into the functions of this protein family, Gronostajski said.

George Steele-Perkins, Ph.D., a postdoctoral fellow working with Gronostajski, is first author on the study. Also involved in the research were Kenneth G. Butz, UB research support specialist; Gary E. Lyons, Ph.D., from the University of Wisconsin Medical School; Margarita Zeicher-David, Ph.D., from the Center for Craniofacial Molecular Biology at the University of Southern California School of Dentistry, and Heung-Joong Kim, D.D.S., Ph.D., and Moon-Il Cho, Ph.D., from the Department of Oral Biology in UB's School of Dental Medicine.

The research was supported by an interdisciplinary grant from UB and by grants from the National Institute of Child Health and Development and the National Institute of Diabetes and Digestive and Kidney Diseases.

(The image accompanying this text, published on the cover of the April issue of Molecular and Cellular Biology, appears with permission from the American Society for Microbiology.)