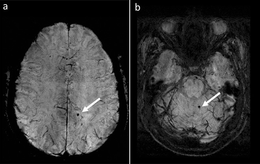
Researchers in the Jacobs School of Medicine and Biomedical Sciences at UB are continuing to study cerebral microbleeds, identified in the images above, as indicators of disease progression in multiple sclerosis.
Release Date: June 15, 2016 This content is archived.
BUFFALO, N.Y. – Leaky blood vessels in the brain called cerebral microbleeds are associated with increased physical and cognitive disability in patients with multiple sclerosis (MS), according to a new study by researchers in the Jacobs School of Medicine and Biomedical Sciences at the University at Buffalo.
The study, published online today in Radiology, is among the first to examine what cerebral microbleeds may mean for clinical outcomes in MS.
Cerebral microbleeds, which become more common with age and are a known risk factor for dementia, also have been associated with traumatic brain injury, stroke, Alzheimer’s disease and Parkinson’s disease.
The UB researchers decided to study cerebral microbleeds and MS because they saw significant overlap in the risk factors for each condition, according to Robert Zivadinov, MD, PhD, first author, professor of neurology, director of the Buffalo Neuroimaging Analysis Center and director of Magnetic Resonance Imaging in the Clinical and Translational Research Center of the Jacobs School of Medicine and Biomedical Sciences at UB.
“Our hypothesis was that there is increased prevalence of cerebral microbleeds in MS because progression of that disease is associated with increased likelihood of cardiovascular comorbidities, including hypertension, altered lipid metabolism, overweight/obesity, smoking and diabetes and migraine, all risk factors for cerebral microbleeds,“ he said.
The study included 445 patients with MS; 45 with clinically isolated syndrome, which is the first MS episode a patient experiences; 51 patients with other neurological diseases; and 177 healthy controls.
All study participants underwent a type of magnetic resonance imaging called susceptibility-weighted imaging that is specifically targeted to better image blood products.
“We found that 20 percent of MS patients over the age of 50 have cerebral microbleeds compared to 7 percent of healthy controls,” said Ferdinand Schweser, PhD, assistant professor of neurology in the Jacobs School of Medicine and Biomedical Sciences at UB and senior author on the paper. Among subjects under the age of 50, 14 percent of patients with clinically isolated syndrome had microbleeds versus just 3 percent of healthy controls.
The researchers found that the more cerebral microbleeds a patient had, the more severe were their physical and cognitive outcomes. In particular, MS patients who had more cerebral microbleeds had more physical disability after adjusting for age, hypertension and whole-brain volume.
“This is significant because it suggests that cerebral microbleeds are associated with increased physical disability in MS patients, independent from these additional risk factors for cerebral microbleeds,” said Zivadinov.
In terms of cognitive disability, the researchers found that in the subgroup of MS patients who underwent neuropsychological testing, those with more cerebral microbleeds had higher disability on verbal and other cognitive function tests.
“Those MS patients who have cerebral microbleeds are subject to developing more physical and cognitive disabilities earlier in their disease, and therefore monitoring them more closely might be appropriate,” Zivadinov noted.
Significant research is now being done on ways to combat cerebral microbleeds, Zivadinov said, adding that currently, prevention of cardiovascular risk factors was seen as the best way to prevent their formation since there are no currently available target therapies.
The UB researchers are conducting a longitudinal, five-year study of these patients focused on the relationship between cerebral microbleeds, advances in magnetic resonance imaging and clinical outcomes.
Other UB co-authors are Deepa P. Ramasamy, MD; Ralph R. H. Benedict, PhD; Jesper Hagemeier, PhD; Michael G. Dwyer, PhD; Niels Bergsland, PhD; Bianca Weinstock-Guttman, MD; Channa Kolb, MD; David Hojnacki, MD; Paul Polak; Nicola Bertolino; and Christopher Magnano.
Other authors from Wayne State University include E. Marck Haacke, PhD, and David Utriainen.
The study was supported in part by the Buffalo Neuroimaging Analysis Center and the Jacquemin Family Foundation.
Ellen Goldbaum
News Content Manager
Medicine
Tel: 716-645-4605
goldbaum@buffalo.edu
