Study: New insights on the role of the MLL4 gene in Kabuki syndrome

Research suggests that MLL4 controls production of neurons vital to growth

Release Date: January 11, 2021 This content is archived.

Print
Jae Lee in the lab, sitting with legs crossed.

Jae Lee. Credit: Douglas Levere / University at Buffalo

“Our studies suggest that MLL4 could be a great epigenetic target molecule to treat various symptoms of Kabuki syndrome. ”
Jae Lee, professor of biological sciences
University at Buffalo
“This is the first study that demonstrates roles of MLL4 in fate determination of neuronal cell types during development, a significant advance in our efforts to understand how cell fates are determined epigenetically. ”
Seunghee Lee, associate professor of pharmacy
Seoul National University

BUFFALO, N.Y. — Scientists have known for years that mutations in the MLL4 gene can cause Kabuki syndrome, a rare developmental disorder.

But a study published on Jan. 11 in Nature Communications illuminates new details regarding how this occurs.

The research suggests that MLL4 controls the production of neurons that secrete growth hormone-releasing hormone (GHRH) in a part of the brain called the hypothalamus. Mice without working copies of the MLL4 gene in this area had stunted growth and markedly fewer GHRH neurons. Mice with only one functioning copy of the gene had similar problems.

These are important insights, as GHRH stimulates production of the growth hormone in the pituitary gland in both mice and people. While the effects of Kabuki syndrome vary, delayed growth and short stature are common among patients.

“Given our findings, inactivation of MLL4 is presumed to lead to a loss of GHRH-neurons, resulting in lack of typical growth in Kabuki patients,” says Jae Lee, PhD, professor of biological sciences in the University at Buffalo College of Arts and Sciences. “We also researched the epigenetic activity of MLL4, and our studies suggest that MLL4 could be a great epigenetic target molecule to treat various symptoms of Kabuki syndrome.”

“This is the first study that demonstrates roles of MLL4 in fate determination of neuronal cell types during development, a significant advance in our efforts to understand how cell fates are determined epigenetically, an important question remaining to be answered in modern neurobiology,” says Seunghee Lee, associate professor of pharmacy at Seoul National University.

Jae Lee and Seunghee Lee are the study’s senior authors. The first author is Christian Huisman, PhD, a postdoctoral scholar at Oregon Health & Science University.

A detailed look at the work of MLL4

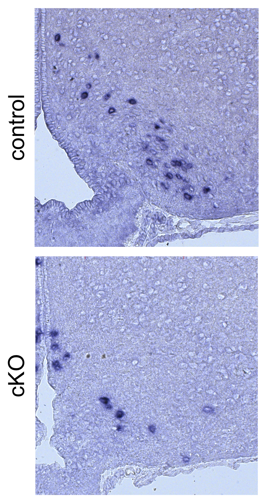
Microscope images: Dark granular areas show expression of mRNA for growth hormone-releasing hormone (GHRH) in the hypothalamus of a young mouse with functioning copies of the MLL4 gene (top), and of a littermate with the MLL4 gene deleted (bottom). A new study found that MLL4 controls production of neurons that secrete ​GHRH, with production of GH​RH markedly reduced in both postnatal and embryonic mice that have the MLL4 gene deleted. Credit: Christian Huisman, originally published in Nature Communications.

For patients, parents and caregivers, new knowledge about the biology of rare diseases provides hope, laying a foundation for the development of treatments, says Jae Lee, who is the parent of a child with a different rare genetic disorder (FOXG1 syndrome).

Though mutations in different genes can lead to Kabuki syndrome, mutations in MLL4 are one of the most common causes of the disorder.

As part of the new study, the team used cutting-edge techniques to investigate the molecular mechanisms by which MLL4 controls the creation of GHRH-neurons in embryonic development in mice. The research shows that MLL4 helps to activate various genes involved in producing GHRH neurons, and finds that a transcription factor called NRF1 is a key partner in this process.

Moreover, the scientists showed that small chemicals that mimic the epigenetic actions of MLL4 can help to restore production of GHRH neurons.

While growth hormone therapies already exist, Jae Lee says the new research creates opportunities for exploring treatment pathways for other Kabuki syndrome symptoms.

“Kabuki syndrome has many other symptoms that are not treatable, and targeting the epigenetic activities of MLL4 could be a feasible strategy for treating other symptoms,” Jae Lee says. “The principle we found — dealing with the roles of the epigenetic activity of MLL4 in cell-type specification — may apply to various symptoms.”

In addition to Jae Lee, Seunghee Lee and Huisman, authors of the study include Young A Kim at Seoul University; Shin Jeon, Bongjin Shin, Younjung Park, Medha K. C. and Soo-Kyung Lee at UB; Jeonghoon Choi at Oregon Health & Science University; and Su Jeong Lim, Sung Min Youn and Sangsoo Kim at Soongsil University.

The research was funded by the National Institute of Neurological Disorders and Stroke and the National Institute of Diabetes and Digestive and Kidney Diseases, both part of the U.S. National Institutes of Health; the Soongsil University Research Fund; the National Research Foundation of Korea; and the Korea Health Industry Development Institute.

Media Contact Information

Charlotte Hsu is a former staff writer in University Communications. To contact UB's media relations staff, email ub-news@buffalo.edu or visit our list of current university media contacts.